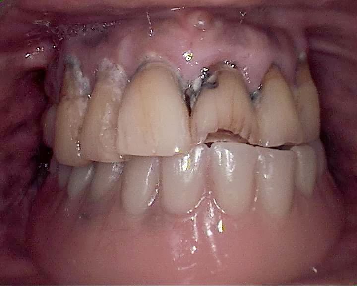
RESTORATIVE & GENERAL DENTISTRY
‘Restorative Dentistry’ is the restoration of natural teeth that have been damaged, decayed or lost.
A crown may be constructed to restore an individual damaged tooth back to its original form and function, while a bridge may be utilised to replace one or more teeth.
ENDODONTICS
When decay advances to a point where it enters the Pulp Chamber of the tooth, a Root Canal treatment is advised. If the dental pulp ‘dies’, it creates a space in the chamber and canals. This harbors bacteria, thus infecting the ends of the roots.
A root canal treatment cleans and removes the bacteria. In this process, the area is also shaped and sealed so as to keep further infection at bay.
RE-ROOT CANAL TREATMENT:
In some cases where a root canal is not properly done or in cases of re-infection, root canal needs to b re-done to salvage the tooth. Like any other re-do procedure its a difficult procedure to perform.it requires skilfull hands to perform this procedure
COMPLETE DENTURES
Dentures are prosthetic devices constructed to replace missing teeth, and which are supported by the surrounding soft and hard tissues of the oral cavity.
Dentures are beneficial to patients in several ways. ‘Mastication’ or chewing ability is improved by replacing edentulous areas with denture teeth. They also add to the aesthetic value of the face even as the support the lips and cheeks. The ‘collapsed’ appearance that occurs after the loss of teeth is done away with!
By replacing missing teeth, especially anteriors, patients are able to speak with clear phonetics and better pronunciation of words.
And last but not the least, patients get back their personal and social confidence!
COSMETIC DENTISTRY
Cosmetic dentistry involves dental procedures that aim at improving the overall aesthetics of your smile. This advanced process is often referred to as a ‘smile makeover’. A beautiful smile can have a great effect on an individual’s self-confidence, self-esteem and relationships.
VENEERS:

CAD CAM ZIRCONIA CROWNS:
CASE 1:
CASE 2:
LIGHT CURE FILLING:
CASE 1:
CASE 3:
CASE 4:
IMPLANTOLOGY
Implantology is a process in prosthetic dentistry by which a restored tooth (or a group of teeth) is supported by using an artificial root. The most widely accepted and successful implant is the Osseointegrated Implant, using titanium to fuse into the bone which grows on and into the rough surface of the implanted metal. This forms a structural and functional connection between the living bone and the implant.
A variation on the implant procedure is the implant-supported bridge, or implant-supported denture.
CASE 1: SINGLE TOOTH REPLACEMENT
CASE 2:
DIRECT SINUS LIFT:
FULL MOUTH REHABILITATION WITH IMPLANTS
CASE 1:


CASE 3 : FULL MOUTH IMPLANTS:

CASE 2: LOWER ARCH REHABILITATION WITH IMPLANTS
LASER DENTISTRY
Laser dentistry is a precise and effective way to perform various dental procedures. The potential for laser dentistry to improve dental procedures rests in the dentist’s ability to control the power output and the duration of exposure on the tissue (whether gum or tooth structure), allowing for the treatment of a highly specific area of focus without damaging surrounding tissues.
REMOVAL OF MUCOCELE WITH LASER :
EXPOSURE OF TOOTH WITH LASER FOR ORTHODONTIC TREATMENT:
TEETH WHITENING
There’s nothing more impactful about a person than a white, bright smile. However, certain habits Consumption of coffee, tea, aerated drinks, red wine and smoking can discolour and even cause damage teeth.
Whitening helps rid the teeth of stains. A chair-side whitening system is a safe, effective and fast way to dramatically brighten up teeth. Although it is ideal for anybody looking for immediate results, the degree of whiteness varies from patient to patient, depending upon the structure of the tooth.
ORTHODONTICS
Crooked and crowded teeth are not only hard to clean and maintain, they can also contribute to tooth decay, gum diseases and possible tooth loss. Other orthodontic problems can lead to abnormal wear of tooth surfaces, inefficient chewing function, excessive stress on gum tissue and the supporting bones, or misalignment of the jaw joints (Tempero-mandibular Joint or TMJ). Some chronic headaches and face or neck pain by muscular tension or joint damage find their causes in this.
Treatment by an orthodontist is less costly than the additional care required to treat problems arising as a result of orthodontic problems. For most people, a beautiful smile is the most obvious benefit of orthodontics, but improved functioning and reducing wear on teeth are also our main objectives. Once the braces are removed, with improved function and a retention plan in place, an attractive smile will also boost one’s self confidence like no other!
Ceramic braces are made of translucent or clear glass material. They are also popular with adult patients, due to their cosmetic appeal. Ceramic braces utilise less noticeable brackets for patients concerned about aesthetic appearances. These are translucent, making them blend in with your natural tooth colour. Therefore, unlike traditional stainless steel braces ceramic braces avoid making your smile look ‘metallic’. In addition, ceramic brackets are designed in a manner that they do not stain or discolour over time. The arch wires used in conjunction with the ceramic braces are unfortunately not translucent, but they do blend in well with the ceramic brackets and are not as noticeable.
Invisible braces are fixed orthodontic appliances placed on the inside of the teeth. These are completely invisible from the outside. The advantages are not only cosmetic, they also help develop a natural bite. Hidden braces allow simultaneous use of additional procedures like cleaning and whitening, tooth re-contouring, gum level improvement etc during the treamtment. Lingual braces are the best alternative to create a natural smile that stays beautiful for life.
Clear aligners are a work of the concept of ‘no braces’ – meaning correcting irregular, crooked teeth without any metal, ceramic or invisible braces. These consist of a series of transparent, invisible splints or trays that carry tooth movement over a period of time. This concept has proven to be particularly successful in many clinical cases of adult treatment. It ensures optimal treatment results, combined with high-level comfort.
PAEDIATRIC DENTISTRY
Pediatric dentistry is an age-defined specialty that provides both, preventive and therapeutic dental care for infants, children and adolescents.
Infants and children are not immune to oral health problems. What your children eat affects their teeth. Sugars (found in cake, cookies, candy, milk and juice) and starches (found in potato chips) can cause tooth decay. It is more difficult to clean debris in children's teeth resulting in bacteria growth and ultimately, tooth decay.
Although baby teeth (deciduous, milk or primary teeth) are eventually replaced with permanent teeth, healthy baby teeth are fundamental to a child's overall health and development. Some babies are born with ‘Neonatal’ teeth (teeth that develop in the first month) that require a process in dental hygiene or removal. At least one baby tooth erupts by six months of age. And yes, it requires cleaning.
Baby teeth should be cleaned as soon as they erupt. Some tips:
1. Clean your baby's teeth with a soft washcloth or gauze after every bottle or meal.
2. When more than one tooth erupts, you can soak a small-bristled child-sized (age-appropriate) toothbrush in warm water before using it on your baby's teeth.
3. Baby teeth should be brushed using pea-sized amount of toothpaste.
4. Use water without fluoride until approximately six months of age.
5. Encourage your children to brush their own teeth once they develop the coordination to do so.
6. Replace toothbrushes every two to three months.
7. Children’s teeth should be brushed after they are given medicine. Acids in
medicines may eat away at tooth enamel, which serves as a natural protective coating for the teeth.
Fluoride is a major component in the prevention of childhood dental caries. This is because fluoride alters the molecular structure of the tooth, making it more resistant to acid attack and decay.
PERIODONTICS
Gum disease — also known as periodontal disease and periodontitis — is an inflammatory condition affecting the tissues surrounding a tooth, and is the leading cause of tooth loss.
Gingivitis is a bacterial infection of the tissues in the mouth and a potential precursor of gum disease. Once gum disease sets in, the toxins produced by the bacteria damage the teeth’s connective tissues and bones, effectively destroying them and fostering tooth loss.
As a gum infection progresses, the bone tends to recede; the gums may or may not recede. In some cases, the root of the tooth becomes exposed, occasionally causing tooth sensitivity. Furthermore, pus may be produced, and pockets may form between the gum and tooth. Watch out for bleeding gums during brushing or otherwise, sensitive, red or swollen gums, bad breath and loose of shifted teeth. It’s time to see your dentist!
ORAL AND MAXILLO-FACIAL SURGERY
Oral and maxillofacial surgery corrects a wide spectrum of diseases, injuries and defects in the head, neck, face, jaws and the hard and soft tissues of the oral and maxillofacial region.
The surgical procedures carried out include:
1. Dentoalveolar surgery (surgery to remove impacted teeth, difficult tooth extractions, extractions on medically compromised patients, bone grafting or preprosthetic surgery to provide better anatomy for the placement of implants, dentures, or other dental prostheses)
2. Diagnosis and treatment of benign pathology (cysts, tumors etc)
3. Diagnosis and treatment of temporomandibular joint (TMJ) disorders
TOOTH JEWELLERY
Jewels are bonded on to the tooth in the same way as an orthodontic bracket and need no pretreatment as such.
Skyce® is used in such a way that dentists carry out the procedure responsibly using tried-andtested products. Skyce® is made of crystal glass. It is available in two colours and sizes: crystal and sapphire blue, and 1.8 mm or 2.5 mm in diameter.
‘Restorative Dentistry’ is the restoration of natural teeth that have been damaged, decayed or lost.
A crown may be constructed to restore an individual damaged tooth back to its original form and function, while a bridge may be utilised to replace one or more teeth.
ENDODONTICS
A root canal treatment cleans and removes the bacteria. In this process, the area is also shaped and sealed so as to keep further infection at bay.
RE-ROOT CANAL TREATMENT:
In some cases where a root canal is not properly done or in cases of re-infection, root canal needs to b re-done to salvage the tooth. Like any other re-do procedure its a difficult procedure to perform.it requires skilfull hands to perform this procedure
COMPLETE DENTURES
Dentures are prosthetic devices constructed to replace missing teeth, and which are supported by the surrounding soft and hard tissues of the oral cavity.
Dentures are beneficial to patients in several ways. ‘Mastication’ or chewing ability is improved by replacing edentulous areas with denture teeth. They also add to the aesthetic value of the face even as the support the lips and cheeks. The ‘collapsed’ appearance that occurs after the loss of teeth is done away with!
By replacing missing teeth, especially anteriors, patients are able to speak with clear phonetics and better pronunciation of words.
And last but not the least, patients get back their personal and social confidence!
COSMETIC DENTISTRY
Cosmetic dentistry involves dental procedures that aim at improving the overall aesthetics of your smile. This advanced process is often referred to as a ‘smile makeover’. A beautiful smile can have a great effect on an individual’s self-confidence, self-esteem and relationships.
VENEERS:
CAD CAM ZIRCONIA CROWNS:
CASE 1:
CASE 2:
LIGHT CURE FILLING:
CASE 1:
CASE 2:
CASE 3:
CASE 4:
IMPLANTOLOGY
Implantology is a process in prosthetic dentistry by which a restored tooth (or a group of teeth) is supported by using an artificial root. The most widely accepted and successful implant is the Osseointegrated Implant, using titanium to fuse into the bone which grows on and into the rough surface of the implanted metal. This forms a structural and functional connection between the living bone and the implant.
A variation on the implant procedure is the implant-supported bridge, or implant-supported denture.
CASE 1: SINGLE TOOTH REPLACEMENT
CASE 2:
DIRECT SINUS LIFT:
FULL MOUTH REHABILITATION WITH IMPLANTS
CASE 1:
CASE 3 : FULL MOUTH IMPLANTS:
CASE 2: LOWER ARCH REHABILITATION WITH IMPLANTS
LASER DENTISTRY
Laser dentistry is a precise and effective way to perform various dental procedures. The potential for laser dentistry to improve dental procedures rests in the dentist’s ability to control the power output and the duration of exposure on the tissue (whether gum or tooth structure), allowing for the treatment of a highly specific area of focus without damaging surrounding tissues.
REMOVAL OF MUCOCELE WITH LASER :
EXPOSURE OF TOOTH WITH LASER FOR ORTHODONTIC TREATMENT:
TEETH WHITENING
There’s nothing more impactful about a person than a white, bright smile. However, certain habits Consumption of coffee, tea, aerated drinks, red wine and smoking can discolour and even cause damage teeth.
Whitening helps rid the teeth of stains. A chair-side whitening system is a safe, effective and fast way to dramatically brighten up teeth. Although it is ideal for anybody looking for immediate results, the degree of whiteness varies from patient to patient, depending upon the structure of the tooth.
ORTHODONTICS
Crooked and crowded teeth are not only hard to clean and maintain, they can also contribute to tooth decay, gum diseases and possible tooth loss. Other orthodontic problems can lead to abnormal wear of tooth surfaces, inefficient chewing function, excessive stress on gum tissue and the supporting bones, or misalignment of the jaw joints (Tempero-mandibular Joint or TMJ). Some chronic headaches and face or neck pain by muscular tension or joint damage find their causes in this.
Treatment by an orthodontist is less costly than the additional care required to treat problems arising as a result of orthodontic problems. For most people, a beautiful smile is the most obvious benefit of orthodontics, but improved functioning and reducing wear on teeth are also our main objectives. Once the braces are removed, with improved function and a retention plan in place, an attractive smile will also boost one’s self confidence like no other!
Ceramic braces are made of translucent or clear glass material. They are also popular with adult patients, due to their cosmetic appeal. Ceramic braces utilise less noticeable brackets for patients concerned about aesthetic appearances. These are translucent, making them blend in with your natural tooth colour. Therefore, unlike traditional stainless steel braces ceramic braces avoid making your smile look ‘metallic’. In addition, ceramic brackets are designed in a manner that they do not stain or discolour over time. The arch wires used in conjunction with the ceramic braces are unfortunately not translucent, but they do blend in well with the ceramic brackets and are not as noticeable.
Invisible braces are fixed orthodontic appliances placed on the inside of the teeth. These are completely invisible from the outside. The advantages are not only cosmetic, they also help develop a natural bite. Hidden braces allow simultaneous use of additional procedures like cleaning and whitening, tooth re-contouring, gum level improvement etc during the treamtment. Lingual braces are the best alternative to create a natural smile that stays beautiful for life.
Clear aligners are a work of the concept of ‘no braces’ – meaning correcting irregular, crooked teeth without any metal, ceramic or invisible braces. These consist of a series of transparent, invisible splints or trays that carry tooth movement over a period of time. This concept has proven to be particularly successful in many clinical cases of adult treatment. It ensures optimal treatment results, combined with high-level comfort.
PAEDIATRIC DENTISTRY
Pediatric dentistry is an age-defined specialty that provides both, preventive and therapeutic dental care for infants, children and adolescents.
Infants and children are not immune to oral health problems. What your children eat affects their teeth. Sugars (found in cake, cookies, candy, milk and juice) and starches (found in potato chips) can cause tooth decay. It is more difficult to clean debris in children's teeth resulting in bacteria growth and ultimately, tooth decay.
Although baby teeth (deciduous, milk or primary teeth) are eventually replaced with permanent teeth, healthy baby teeth are fundamental to a child's overall health and development. Some babies are born with ‘Neonatal’ teeth (teeth that develop in the first month) that require a process in dental hygiene or removal. At least one baby tooth erupts by six months of age. And yes, it requires cleaning.
Baby teeth should be cleaned as soon as they erupt. Some tips:
1. Clean your baby's teeth with a soft washcloth or gauze after every bottle or meal.
2. When more than one tooth erupts, you can soak a small-bristled child-sized (age-appropriate) toothbrush in warm water before using it on your baby's teeth.
3. Baby teeth should be brushed using pea-sized amount of toothpaste.
4. Use water without fluoride until approximately six months of age.
5. Encourage your children to brush their own teeth once they develop the coordination to do so.
6. Replace toothbrushes every two to three months.
7. Children’s teeth should be brushed after they are given medicine. Acids in
medicines may eat away at tooth enamel, which serves as a natural protective coating for the teeth.
Fluoride is a major component in the prevention of childhood dental caries. This is because fluoride alters the molecular structure of the tooth, making it more resistant to acid attack and decay.
PERIODONTICS
Gum disease — also known as periodontal disease and periodontitis — is an inflammatory condition affecting the tissues surrounding a tooth, and is the leading cause of tooth loss.
Gingivitis is a bacterial infection of the tissues in the mouth and a potential precursor of gum disease. Once gum disease sets in, the toxins produced by the bacteria damage the teeth’s connective tissues and bones, effectively destroying them and fostering tooth loss.
As a gum infection progresses, the bone tends to recede; the gums may or may not recede. In some cases, the root of the tooth becomes exposed, occasionally causing tooth sensitivity. Furthermore, pus may be produced, and pockets may form between the gum and tooth. Watch out for bleeding gums during brushing or otherwise, sensitive, red or swollen gums, bad breath and loose of shifted teeth. It’s time to see your dentist!
ORAL AND MAXILLO-FACIAL SURGERY
Oral and maxillofacial surgery corrects a wide spectrum of diseases, injuries and defects in the head, neck, face, jaws and the hard and soft tissues of the oral and maxillofacial region.
The surgical procedures carried out include:
1. Dentoalveolar surgery (surgery to remove impacted teeth, difficult tooth extractions, extractions on medically compromised patients, bone grafting or preprosthetic surgery to provide better anatomy for the placement of implants, dentures, or other dental prostheses)
2. Diagnosis and treatment of benign pathology (cysts, tumors etc)
3. Diagnosis and treatment of temporomandibular joint (TMJ) disorders
TOOTH JEWELLERY
Jewels are bonded on to the tooth in the same way as an orthodontic bracket and need no pretreatment as such.
Skyce® is used in such a way that dentists carry out the procedure responsibly using tried-andtested products. Skyce® is made of crystal glass. It is available in two colours and sizes: crystal and sapphire blue, and 1.8 mm or 2.5 mm in diameter.
No comments:
Post a Comment